Transformă-ți Zâmbetul cu ...

Implanturi Dentare
All-on-4/All-on-6

  • Confort
  • Rezultate imediate
  • Estetică naturală
despre

despre All-on-4

și All-on-6

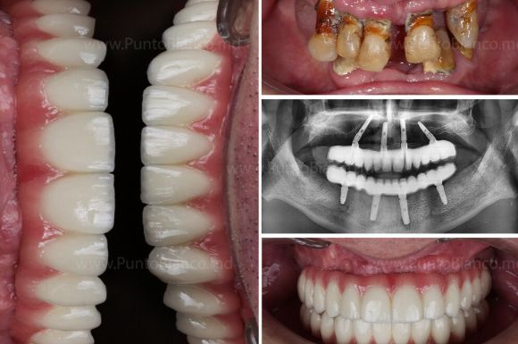
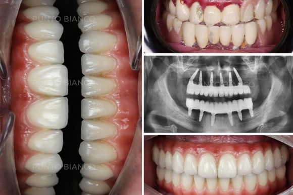
Implanturile dentare All-on-X reprezintă o revoluție în domeniul stomatologiei, oferind o soluție eficientă și permanentă pentru pacienții care se confruntă cu pierderea majorității sau a tuturor dinților pe o arcadă dentară. Această tehnologie avansată permite restaurarea întregii arcade dentare utilizând un număr minim de implanturi (de obicei 4 sau 6), strategic plasate pentru a asigura stabilitate și confort maxim.

Suntem printre puținele clinci stomatologice din Moldova care promit și chiar realizează atât inserarea implanturilor cât și dantura fixă provizorie în ziua intervenției sau a doua zi. Aceasta este posibil datorită tehnologiilor avansate de care dispunem în clinica Punto Bianco (amprente digitale realizate cu cel mai performant scaner intraoral, tomografii 3D direct in clinică, propiul laborator digital) dar și echipei multidisciplinare cu o experiență mare în reabilitări complete și complexe a danturii.

DE CE SĂ ALEGI PUNTO BIANCO PENTRU IMPLANTURILE ALL-ON-X?   

Oferim garanție de 5 ani la implanturi clasice și 1-5 ani la dantura fixă permanentă.

Garantăm calitatea lucrărilor noastre, oferind pacienților siguranță și încredere pe termen lung.

Planificăm digital și inserăm cu ghid chirurgical.

Tehnologia avansată ne permite să planificăm cu precizie și să obținem rezultate exacte, fără erori.

Posibilitatea de a insera implanturile sub anestezie generală.

Pacienții pot opta pentru implantarea dinților în somn – fără stres, fără durere, fără amintiri neplăcute.

Aici sunteți în siguranță (sterilizare + trasabilitate de alt nivel).

Sistemele noastre stricte de sterilizare și monitorizare asigură un mediu de tratament ultra-sigur.

Utilizăm doar implanturi certificate și piese originale.

Asigurăm calitatea și durabilitatea tratamentului prin utilizarea exclusiv a materialelor omologate și a pieselor originale.

Achităm bine medicii și personalul.

Echipa noastră este bine remunerată, ceea ce garantează implicarea și dedicația în fiecare tratament.


PREȚURI + OFERTĂ SPECIALĂ

Acum, cât ești pe pagina aceasta, avem plăcerea să îți prezentăm două oferte menite să îți aducă zâmbetul dorit cu dinți ficsi, chiar în ziua intervenției. Folosește Promo Code-ul 'VREAU CADOU' la completarea formularului și bucură-te de o reducere specială de până la 650. Nu lăsa ocazia să-ți scape—profită acum de această ofertă unică!

ALL-ON-4

DE LA
€1799

✔️ 4 implanturi dentare cu o rată de integrare ridicată
✔️ 4 bonturi speciale MUA (multi-unit) pentru o fixare sigură
✔️ 2 seturi de proteze provizorii (primul set de dinți ficși în 1-2 zile)
✔️ Înlocuire gratuită în caz de rupturi

* Costul variază în funcție de marca implanturilor și materialul din care va fi realizată dantura fixă provizorie. Toate opțiunile de preț și ofertele existente vor fi prezentate în cadrul consultației cu medicul specialist.

OFERTĂ SPECIALĂ 

Folosește Promo Code-ul 'VREAU CADOU' și beneficiază nu doar de prețul avantajos la implanturi, ci și de:

✅ Consultație gratuită
✅ Plan de tratament gratuit
✅ Tomografie gratuită
✅ Extracții gratuite

VALOARE: 650€ GRATUIT

ALL-ON-6

DE LA
€2349

✔️ 6 implanturi dentare cu o rată de integrare ridicată
✔️ 6 bonturi speciale MUA (multi-unit) pentru o fixare sigură
✔️ 2 seturi de proteze provizorii (primul set de dinți ficși în 1-2 zile)
✔️ Înlocuire gratuită în caz de rupturi

* Costul variază în funcție de marca implanturilor și materialul din care va fi realizată dantura fixă provizorie. Toate opțiunile de preț și ofertele existente vor fi prezentate în cadrul consultației cu medicul specialist.

OFERTĂ SPECIALĂ 

Folosește Promo Code-ul 'VREAU CADOU' și beneficiază nu doar de prețul avantajos la implanturi, ci și de:

✅ Consultație gratuită
✅ Plan de tratament gratuit
✅ Tomografie gratuită
✅ Extracții gratuite

VALOARE: 650€ GRATUIT

Folosește Promo Code-ul 'VREAU CADOU' la completarea formularului și bucură-te de o reducere specială de până la 650€!

CRM-форма появится здесь
CRM-форма появится здесь

Ne poți contacta pentru orice informații suplimentare. Completează formularul de mai jos și îți vom răspunde cât mai curând. Ne dorim să îți oferim cea mai bună experiență!

P.S. Poți menționa codul promoțional 'Vreau Cadou' și la telefonul: +373 78555454, iar unul dintre reprezentanții noștri va activa reducerea pentru tine.

adresa Str. 31 August 37/1, Chișinău,
Republica Moldova
Program de lucru: Luni - Vineri 9:00-18:00
Sâmbătă 9:00 - 18:00